Odontotecnica di precisione avanzata
Nel nostro laboratorio realizziamo protesi dentali su misura, unendo maestria artigianale e tecnologie digitali CAD/CAM per offrire ai dentisti restauri precisi, estetici e funzionali, pensati per il benessere quotidiano dei loro pazienti.
Servizi

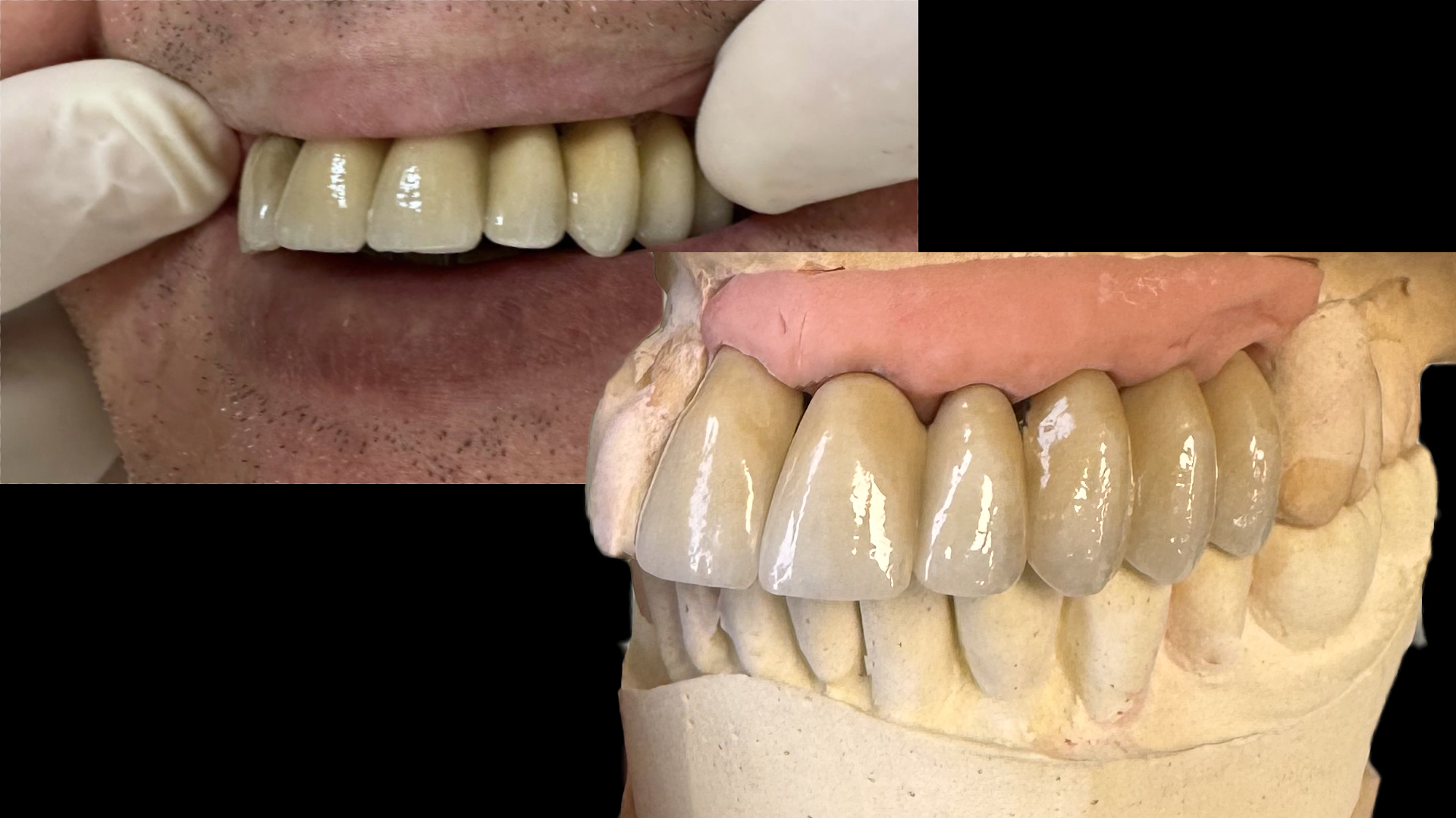
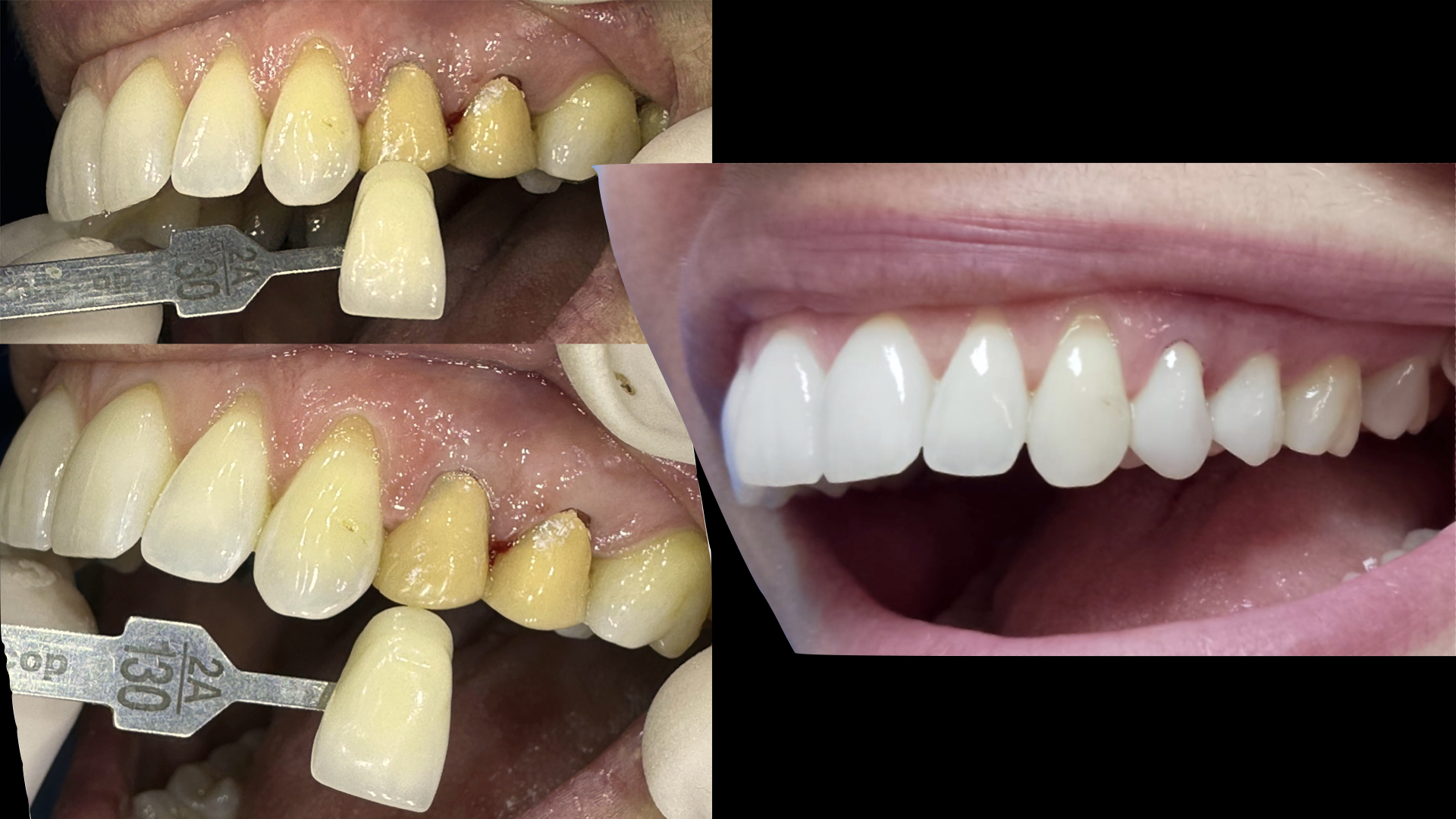
Protesi fisse e mobili personalizzate con materiali di alta qualità, progettate per stabilità, comfort e integrazione estetica nel sorriso del paziente.

Flusso digitale completo: scansione, progettazione CAD e stampa 3D per lavori rapidi, precisi e facilmente condivisibili con lo studio dentistico.





Vieni a trovarci
Via Maddaloni 38, Roma 00177
Orario
Dal Lunedì al venerdì dalle 9.30 alle 17.30
Telefono
+39 3516353789




